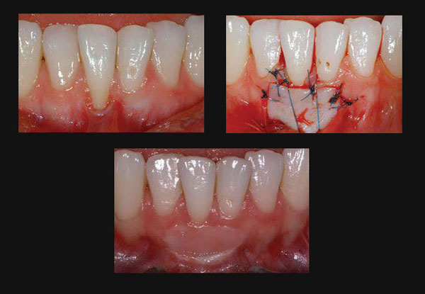
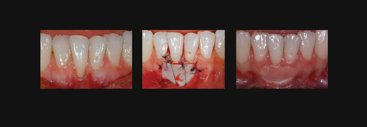
Branch of dentistry that deals with gums, alveolar bone, cementum and periodontal ligament.
TREATMENTS :
This branch generally concerns in improving overall health of your gum and teeth.